TwinTree Insert

10-05 Fat and Water Suppression


ometimes it is helpful to dispose of the high-intensity signal of fat or fluids. The­re are numerous suppression techniques. Two of them are in­ver­sion-re­­co­­ve­ry methods; additional techniques are discussed in Chapter 11.

Images with long TI have little contrast between neigh­bo­ring tissues, except the one created by differences in proton density, whereas images with short TI can show high con­trast.

This feature is exploited in a spe­cial in­ver­sion-recovery pulse sequence, the STIR sequence.


spaceholder redSTIR (Short TI Inversion Recovery) sequences are often used when looking for high signal intensity lesions such as con­trast-enhancing tumors close to or within fat­ty tissue because this IR sequence facilitates the sup­pres­sion of the signal stem­ming from fat.

The fat signal reaches zero signal in­ten­si­ty at TR > 3000 ms, TI ~ 200 ms, and TE 20 ms (at 1.5 T); TI is lower at lower field strength (Figure 10-10).


Figure 10-10:
STIR. In all images, TR = 4000 ms, TE = 10 ms; (a) TI = 50 ms, (b) TI = 240 ms, (c) TI = 450 ms. The fat­ty tissue close to the optic nerve disappears with a TI of ap­pro­xi­ma­te­ly 240 ms. Signal suppression is based on T1 relaxation times and not tissue specific. STIR should be used before in­ject­ing con­trast agents.


Signal suppression by STIR pulse sequences is based on T1 relaxation times; there­fore it is not tissue specific. This is the reason why STIR sequences should be used before the administration of contrast agents that facilitate T1 shortening [⇒ Krin­sky 1996].

To ensure effective characterization of tissue, selective fat sup­pres­sion tech­ni­ques are offered by different companies; they should be used whenever a sub­stra­te is isointense with respect to fat on multiple pulse sequences and the substrate is sup­pres­sed on STIR imaging. Details of these suppression techniques are discussed in Chapter 11.


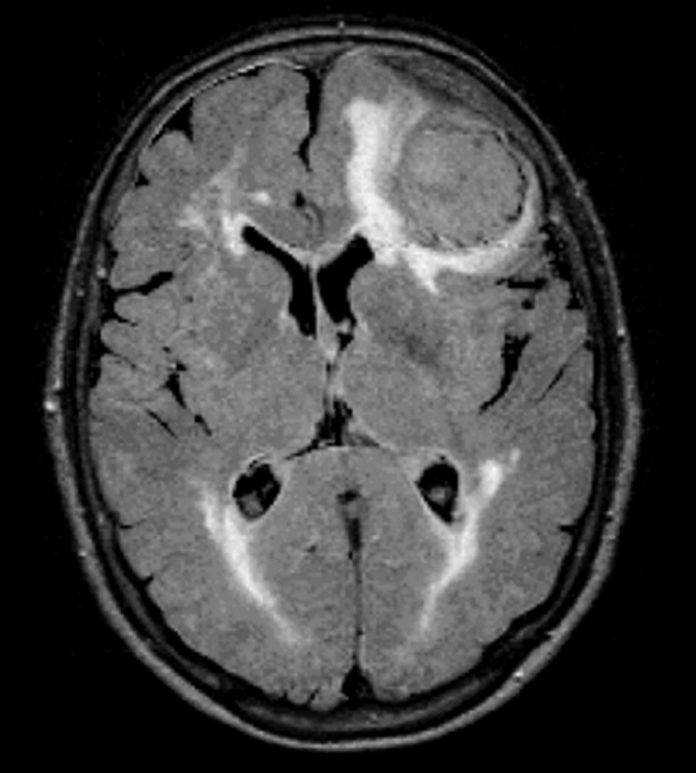
Figure 10-11:
FLAIR. TR = 8000 ms, TE = 120 ms, TI = 2000 ms. The brain lesions caused by the pressure of huge me­nin­gi­oma are well seen on the FLAIR image.


spaceholder redFLAIR (Fluid Attenuated Inversion Recovery) eliminates the signal from ce­­re­­bro­­spi­­nal fluid by using very long inver­sion times (2000–2500 ms). It is espe­ci­al­ly useful in brain lesions with low contrast (Figure 10-11).

CSF reaches the null point of no signal at an inversion time of ~2000 ms (TR > 8000 ms; TE > 100 ms), depending on field strength  [⇒ De Coene 1992].

Both techniques can be combined with RSE sequences; they then become Fast STIR and Fast FLAIR.