TwinTree Insert

PR-Spaceholder

Chapter Eleven
Advanced Contrast Concepts


11-01 Introduction


ver the years, several ideas and concepts were developed on how to in­­flu­­­en­­­ce and enhance contrast by either suppressing or highlighting cer­tain tis­­sue structures.

To a certain extent, these concepts have added to the diagnostic op­tions of MR imag­­ing and are commonly used to solve specific questions or par­ti­cu­lar research tasks (more or less similar to those in Figure 11-01).


Figure 11-01:
What are the bright spots in the sky on these images: sun or moon? Think about it. Sometimes one can­­not determine exactly what is seen on a picture — even when the details are clearly vi­si­ble. Then, ad­­di­­ti­­o­­nal information or specific approaches are helpful.
Top: Moonrise in southern Switzerland.
Bottom: Sunset in Manhattan.


We will introduce some of these techniques on the following pages:

spaceholder darkbluesuppression techniques;
spaceholder darkbluediffusion imaging;
spaceholder darkbluefunctional imaging;

as well as MR Elastography which is less an in­de­pen­dent con­cept but ra­ther a me­cha­ni­cal ap­pli­ca­tion.

There are a number of other 'advanced imaging' gadgets and 'apps' introduced by se­ve­ral manufacturers; they fulfill mostly consumerist marketing strategems or re­main in the realm of constant research; they will not be discussed here.


11-01 Suppression Techniques


Fat and, in a similar way, water can create contrast problems for a number of cli­­ni­­cal is­sues. It possesses high signal on T1-weighted SE images, which can obs­cure other tissues or pathologies with high signal adjacent to the fatty tissue.

Thus, it would be of great advantage to eliminate its signal in certain cases. This in­cludes lesions in fatty tissues such as the orbit or in examinations of fatty livers, in heart examinations, and in the differentiation of bone and marrow diseases.

We have already described two of the suppression techniques in Chapter 10: Fat and fluid suppression with STIR and FLAIR. We will discuss three different ap­proa­ches below.


11-01-02 Phase-Sensitive Methods


In Chapter 5, we have introduced chemical shift: the molecular difference bet­ween fat and water makes them precess at slightly different frequencies. If MR imaging is per­form­ed at high fields, chemical shift can lead to two different ima­ges of the same anatomical structure, which is known as chemical-shift artifact. Figure 11-02 ex­plains the origin of this artifact.


Figure 11-02:
Because of the chemical shift between wa­ter and fat signals, the image re­pre­sen­ta­tion of fat (yellow) is shifted in the fre­quen­cy encoding direction with re­spect to the neighboring water image (blue); in other words, there are two images from the same tissue: a chemical-shift artifact.


There is a positive side to this feature: it can be used to eliminate the un­wan­ted fat sig­nal. In gradient-echo sequences chemical-shift effects are not re­fo­cu­sed and will de­pend on the echo time, as the following description exemplifies.

Water and fat have a chemical shift of 145 Hz at 1.0 T or of 225 Hz at 1.5 T. At the latter frequency, the off-resonance fat signal rotates through 360° every 4.4 ms.

Thus, at echo times which are even multiples of 4.4 ms, the fat and water sig­nals are in phase, while for echo times which are odd multiples of 2.2 ms, the sig­nals are out of phase (Figure 11-03).


Figure 11-03:
Phase-contrast behavior at 1.5 T where the frequency difference between water and fat is 225 Hz. By choos­ing an ap­pro­pri­ate TE in a GRE sequence, the fat signal is either in phase with the phase of water or out of phase. The fat signal ro­ta­tes through 360° ev­ery 4.4 ms (1/225 s). This means that water and fat signal are in phase at 0.0, 4.4, 8.8, etc. ms (↑) and 180° out of pha­se at 2.2, 6.6, 11.0, … ms (↓).


ΔB₀ effects cause local variations in the exact phase of each component, but their phase difference is preserved.

By choosing an appropriate echo time, we can emphasize or minimize the con­­tri­­bu­­tion of the fat signal and by adding two averages which use in-phase and out-of-phase echo times respectively, the fat signal can be removed. This kind of fat sup­pres­sion se­quen­ce is also known as the Dixon method. It is similar to che­mi­cal shift imag­ing or phase contrast  [⇒ Dixon 1984, 1985, ⇒ Szumowski 1988].


11-01-03 Presaturation


By applying an RF pulse of the appropriate frequency before the regular imaging pul­se sequence, one can eliminate the signal of a specific tissue. Again, this me­thod is field strength-dependent and best used at high fields where water/fat shifts are high.

A presaturation pulse is applied at the precession frequency of fat (or the com­­pound to be saturated); this pulse does not influence the water component of the tis­sue (Figure 11-04).


Figure 11-04:
Selectively saturating the fat component:
(a) a fat-saturating RF pulse is transmitted, and
(b)rotates the yellow fat magnetization into the transverse plane.
(c)The fat spins start dephasing in the x-y plane, accelerated by a dephasing gra­dient.
(d)Only the blue water magnetization re­mains.


Usually a chemical-shift selective pulse se­quen­ce (CHESS) or a variation of this se­quen­ce are used. With a frequency-selective 90° pulse, the magnetization of fat is ro­tat­ed into the transverse plane where its dephasing is accelerated by a spoiler (or cru­sher) gradient. Then the regular pulse sequence follows, but it only excites the water in the sample.

Figure 11-05 shows an example of the ap­pli­ca­tion of fat suppression. A different kind of presaturation is used for artifact suppression in flow ima­ging (see Chapter 17).


Figure 11-05:
Example of fat suppression — tumor in the right orbit. T1-weighted SE images.
Left: Plain image.
Right: Contrast enhancement of the tumor after gadolinium contrast agent. The tumor has become bright. The fat signal has been eliminated; both orbits now are dark and the enhancing parts of the tu­mor are easily delin­eated.


11-01-04 Magnetization Transfer


The idea of altering contrast by off-reso­nance irradiation of the sample was first de­­scrib­ed by Muller and collaborators in 1983  [⇒ Muller 1983]. Wolff and Balaban coi­ned the term magnetization transfer (magnetization transfer contrast = MTC) for this kind of al­teration of image contrast  [⇒ Wolff 1989]. Lipton, Seppo­nen and col­­la­­bo­­ra­­tors improved contrast en­hancement of the method  [⇒ Lipton 1991].

MTC is a suppression of protein-bound water and related to spin-lock imaging. It is based on the fact that in most biological tis­sues there is a cross relaxation between the free proton pool Hf representing mobile wa­ter protons and the re­stric­ted proton pool (Hr) representing the protons associated with ma­cro­mo­le­cu­les or immobile water  [⇒ Edzes 1978].

The restricted Hr pool has a much shorter T2 than the mobile Hf pool, and con­­se­­quent­­ly is not directly observed with standard MR techniques.

Thus, its in­flu­en­ce upon image contrast cannot be exploited with standard pulse se­­quen­­ces. The cross relaxation and/or chemical exchange between these two pools means that saturating the resonance corresponding to one of them also affects the se­­cond pool (Figure 11-06).


Figure 11-06:
The signal in a conventional MR exa­mi­na­tion con­sists of the part created by the nar­row peak of the mo­bi­le protons (free pro­tons: Hf) and the broad peak of the im­mo­bi­le protons (restricted protons: Hr). Both pools interact and exchange information. The re­stricted pool can be sa­tu­ra­ted by off-resonance ir­ra­di­a­­tion, which re­du­ces its magnetization to 0 (in the best case). The exchange between the two pools then leads to a reduction in the free water sig­nal.


Saturating the Hr pool leads to a loss of signal from the Hf pool.

The cross re­la­xa­tion is a short range process and, therefore, the direct effect is li­mi­ted to in­ter­fa­ces between the two pools, although diffusion relays the effect to the bulk of free water.

The Hr pool is known to have a very short T2 value; thus, the behavior of the mag­ne­ti­za­tion during the RF pulse is dominated by relaxation.

The majority of sequences developed to date for MTC imaging use a relatively long, low-power, off-resonance saturation pulse to selectively saturate Hr  [⇒ Jones 1991, ⇒ Wolff 1989].

However, new pulse sequences have been proposed to optimize MTC  [⇒ Jones 1992].

The clinical applications of MTC are limited; it can be used in time-of-flight MR an­gio­gra­phy to suppress background tissue. In T2-weighted images, MTC may help to de­tect early demyelination.

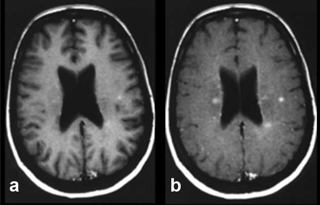
A combination of MTC and contrast agent application enhances contrast at times where one of the techniques alone does not create sufficient enhancement, for in­stance in some ca­ses of multiple sclerosis and other brain lesions, of brain in­farc­tions, and in the detection of recent myocardial infarctions (Figure 11-07)  [⇒ Jones 1993, ⇒ Tanttu 1992].


Figure 11-07:
Example of magnetization trans­fer contrast. Patient with multiple scle­ro­sis.
(a) T1-weighted brain images after enhancement with a gadolinium-based con­trast agent.
(b) Image with additional magnetization transfer con­trast. The com­bi­na­tion of contrast agent and MTC clearly enhances contrast and shows more le­sions, al­though it remains unclear whether all of these lesions are active.