TwinTree Insert

10-04 Signal Inversion


n the early 1980s, the research group at Hammersmith Hospital in London suc­­cee­d­ed in imaging the brain with such an excellent spatial and contrast re­­so­­lu­­tion that they could compare their images with slices seen before only in ne­c­rop­­sy. They used inversion-recovery (IR) pulse sequences  [Bydder 1982].


10-04-01 The Inversion Time (TI)


In IR sequences, the initial magnetization is turned around by a 180° pulse. Thus, the recovery starts with a negative value, reaches 0 after 0.69 times the re­spec­ti­ve T1, then becomes positive and returns to its equilibrium after ap­pro­xi­ma­te­ly five times T1 (Figure 10-08 top).

At some stage during this period, a 90° pulse is transmitted, which changes the part­ly recovered longitudinal mag­ne­ti­za­tion into observable trans­verse mag­ne­ti­za­tion. Commonly this is followed by another 180° pulse which creates a spin echo.

A detailed description of this pulse sequence can be found in Chapter 4.


spaceholder redIn reality, the initial negative magnetization is lost due to the calculation of the mag­ni­tu­de or modulus image (solid lines in Figure 10-08 top) from the real and ima­gi­na­ry signals, which is the standard procedure on most systems. There­fore, ne­ga­tive sig­nals are recorded as positive signals of the same strength, and the sig­nal is po­si­ti­ve on either side of the null point. Image contrast in IR sequences reflects this be­ha­vior (Figures 10-08 and 10-09).


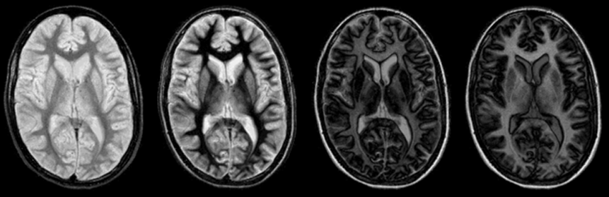
Figure 10-08:
Contrast is one of the major concerns in medical imaging.
Graph top: Relative sgnal-intensity (SI) behavior of an inversion-recovery sequence with a repetition time TR = 2000 ms, B₀ = 1.5 T. Note that until 0.69 × T1 has been reached, the signal is ne­ga­ti­ve (dot­­ted lines). The solid lines depict the IR signal intensity behavior in reality (magnitude image): the (po­si­ti­ve) signal decreases to zero, then increases again until it reaches equilibrium.
Graph bottom: Contrast between gray and white matter and CSF in the same inversion-recovery ex­­pe­ri­ment. There is poor contrast with short TI. It then increases and rea­ches a peak (in this case) at ap­pro­xi­ma­te­ly 400 ms. Immediately afterwards, there is a sharp drop in gray/ white-matter contrast; it dis­ap­pears com­ple­te­ly, and then turns negative, reaching another peak. With long inversion times, it dis­ap­pears again. CSF/white-matter contrast behaves similarly. Note that peaks of optimal contrast can be very close to zero contrast. When look­ing for pathology, this means that lesions may easily be over­looked if wrong inversion times are chosen.


Figure 10-09:
The unexpected and abrupt contrast changes of an IR pulse sequence (cf. Figure 10-08): four images with increasing TI. One of the main problems (and advantages) of the IR sequence is that its con­trast be­ha­vi­or can change dramatically with only minimal changes of the inversion time.

Figure 10-09-Video:
Animation: In all images, TR = 4000 ms (different from the graph in Figure 10-08). TI from 100 ms to 2000 ms, increasing in steps of 100 ms.
Simulation software: MR Image Expert®


To retain the signal information, a reference image is needed so that the phase in each pixel can be compared. An interlaced IR/PS sequence is one way of achie­ving this.

Images with long inversion times (TI) have hardly any contrast between neigh­­bo­r­ing tis­sues, except the one created by differences in proton density, where­as ima­ges with short TI show high contrast.

Like partial saturation sequences, IR emphasizes the longitudinal relaxation time T1. The intensity of an averaged signal can be calculated with the fol­low­ing equa­tion:


SI = K × ρ × M₀ (1 - 2exp [-TI / T1] + exp [-TR / T1])

where SI is signal intensity, K is a constant compris­ing bulk flow, diffusion, per­fu­sion and other pa­ra­me­­ters, ρ is proton density, M₀ is magnetization at time 0, TI is the inversion time, TR is the repetition time, and T1 is the longitudinal re­la­xa­tion time.


The signal intensity for a given T1 is strongly dependent on inversion and re­pe­ti­tion times.

The IR sequences implemented in clinical machines add a second 180° pulse after the 90° pulse to rephase T2 influences. In this way, clinical IR images are also af­­fec­t­ed by T2. T2 is not meant to be a primary source of contrast in IR imaging; how­ever, if a long TR and a long TE are chosen, IR images may mimic in part T2-weigh­ted SE contrast.

If a shorter TR is chosen than the T1 of a particular component of the sample, it can happen that — at a certain TI, which is shorter than T1 — the relative sig­nal in­ten­si­ty of this tissue component will be higher than that of a neighboring com­­po­­nent with a shorter T1. This complicated and ambiguous contrast be­ha­vi­or is best under­stood from the curves and pictures in Figures 10-08 and 10-09.

The graphs and images show that the gaps between no contrast and high contrast are very small. If there are no un­pre­dic­table pathological changes present in the sample, contrast can be fore­told.

Problems arise when unknown lesions are suspected. To avoid false interpretations of MR images, several pictures at different TI are desirable. This, however, prolongs imag­ing and examination times.

It is pos­si­ble to produce several images with different TI values in a single interval using a spe­cial IR sequence, but the signal-to-noise ratio of this sequence is reduced be­­cause flip angles of ≤90° are applied for each excitation  [⇒ Graumann 1987, ⇒ Young 1987].

Usually, IR images are acquired as multislice pictures. This means that se­ve­ral pa­ral­lel slices, rather than one single slice, are imaged at a time. This is an elegant way to save time and shorten an examination, and greatly increases the ef­fi­ci­en­cy of IR examinations, which are very time consuming.

The pulse sequence used for multislice IR is the BIR (balanced IR) sequence, which is also known as MDEFT (modified driven-equilibrium Fourier trans­for­ma­tion). These sequences provide superior T1-weigh­ted contrast to T1-weigh­ted SE se­quen­ces.