TwinTree Insert

15-06 Image Segmentation and Multispectral Analysis


pace and military technologies were the forerunners of many image pro­ces­sing ap­plications which later found their way into medical imaging.

One of the most important was the Landsat program of NASA. It cre­ated sets of images of the earth consisting of four or more images of different spectral win­dows (us­ual­ly, two within the visible spectrum and two within the in­fra­red spec­­trum).

Si­mi­lar ap­proa­ches are used today in medical image processing. Image seg­men­t­a­tion is one of the most important tools in automated image analysis.


spaceholder redPlain and postcontrast T1-weighted, T2-weighted, and diffusion images can be used as multispectral images. Reducing the representation of an image to a small num­ber of components was one of the image-processing projects based on such pic­tu­res, a process called feature extraction.

It permits the separation of the basic parts of an image by sets of features that can be extracted from the ima­ge (or several images) and, in turn, then can be used to cal­cu­la­te other features such as edges and textures.

Segmentation is also applied in preprocessing of images for multimodality image re­gis­tra­tion. Image segmentation can be used in static images and, quite important for the use of contrast agents, in dynamic time-varying images.

The detection of gray-level discontinuity allows the highlighting of points, lines, and edges in an image [⇒ Bezdek 1993, ⇒ Lundervold 1992].

Similarity techniques reveal areas of similar signal intensities using thres­hold­ing, region growing, as well as region splitting and merging.

An overview of the components of an image-analysis system is given in Figure 15-10. A detailed description of segmentation is beyond the limits of this chapter, but is available in other treatises [⇒ Gonzalez 2008, ⇒ Clarke 1993, ⇒ Russ 2017].


Figure 15-10:
Steps in image analysis: preprocessing improves the quality of the image by re­duc­ing artifacts; feature ex­trac­tion and se­lec­tion provide the measurement vectors on which seg­men­ta­tion is based. After seg­men­ta­tion, classification and description allow pattern recognition.


Multispectral models can be divided into supervised and un­su­per­vised mo­dels. An unsupervised classification (like cluster analysis) into connected regions is generally suf­fi­cient to provide good partition of an image into relevant com­po­nent structures. Su­per­vi­sed pattern recognition is mainly successful where a re­li­able classification can be expected on the basis of a priori knowledge of the tis­sue parameters [⇒ Alaux 1990].

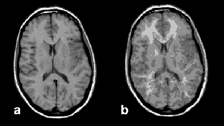
The classical example is gray and white matter separation on the basis of re­la­xa­tion time data (Figure 15-11).


Figure 15-11:
Image segmentation: (a) original brain image, and (b) segmented image presenting 90 different tissue com­­po­nents.


spaceholder redPractical Applications. In medicine, segmentation is applied for the division of ima­ges into components reflecting the same or similar tissues.

Today, the con­cept of segmentation and its application of volumetry have become fast and cli­ni­cal­ly usable. Segmentation allows identification of anatomical areas of in­ter­est for diagnosis and therapy, for instance for planning of surgery.

Measurement of tumor volume before and after treatment has become a re­la­ti­ve­ly easy task with image segmentation. Among other applications are quan­ti­ta­ti­ve mea­su­re­ments of brain atrophy in patients with Alzheimer's disease or alcoholic brain damage.

In cardiac MR imaging segmentation methods and contour-detection methods have been successfully applied to detect the borders of myocardium in order to calculate pa­ra­me­ters like ejection fraction and myocardial mass. Automatic con­tour de­tec­tion can be used for the three-dimensional depiction of bone or soft tis­sue struc­tu­res, e.g., to produce prostheses.