TwinTree Insert

14-05 Contrast-Enhanced MR Angiography (CE-MRA)


oth TOF-MRA and PC-MRA have limitations. Enhancement of blood can be er­­ra­­tic, mostly due to the influence of flow irregularities. In some body re­gions, mo­tion of the surrounding organs by breathing, peristalsis or pul­sa­tion affects an­gio­gra­phic depiction of vessels negatively, and saturation effects in­flu­en­ce sig­nal intensity and contrast of blood vessels.

There are numerous other inherent MR properties which can easily de­te­rio­ra­te both TOF or PC images (Table 14-02). Thus, the dream of finally having a com­­ple­­te­ly non­in­va­si­ve imag­ing method was shattered once again. If MR an­gio­gra­phy was to com­pete with x-ray angiographic methods, higher spatial and tem­po­ral resolution and more reliable enhancement would be necessary — with the application of contrast agents.

There are four different categories of possible angiographic agents. Figure 14-18 clas­si­fies them [⇒ Port 1999]:


Figure 14-18:
Angiographic contrast agents (modified from Port).
(a) ECF-space agents; (b) low-diffusion agents; (c) rapid-clearance blood-pool agents; (d) low-clea­ran­ce blood-pool agents.


Their categories are based on their global ability to cross the en­do­the­lium and to fil­ter through the renal glomeruli.

Low-diffusion agents have an in­ter­me­dia­te position between ECF-space and blood-pool agents, and their interstitial diffusion occurs at a lower rate than that of ECF-space agents.

Rapid-clearance blood-pool agents are mainly confined to the vas­cu­lar space, but are freely ex­cre­t­ed by the kidneys, whereas the re­nal excretion of slow clearance blood-pool agents is very re­strict­ed.

These agents remain in the blood for a significantly longer time and their tissue up­take is limited. However, their imaging window is wider; examination can even be re­peat­ed if necessary, although repeat examination are not recommended because of possible side effects of the contrast agents.

The ideal contrast agent for bright blood MRA would have a high r1 relaxivity to make T1 as short as possible and, to avoid spin dephasing effects, a low r2 re­la­xi­vi­ty to keep: T2* > 2×TE.


spaceholder redBesides gadolinium-based agents, ultrasmall superparamagnetic iron-oxide par­­tic­­les also seem to be well suited for MR angiography, with efficient and long lasting po­si­ti­ve intravascular signal enhancement. These compounds remain al­most ex­clu­si­ve­ly in the intravascular space and selectively display the blood ves­sels.

Due to their prolonged plasma half-life, they could also be used to enhance areas with vessels of varying permeability, and thereby reveal a certain tumor affinity. They also can help to define ischemia and reperfusion af­ter treatment, for example of cerebral or myocardial infarction.

With appropriate calculative algorithms, such agents can also be used to estimate tis­sue blood flow in myocardial and cerebral ischemia, pulmonary embolism, the vas­­cu­­la­­ri­­za­­tion of transplants, and perfusion of tumors.

First and foremost for commercial reasons, mainly ECF-space agents are used for contrast-enhanced MR angiography which can provide ex­cel­lent angiograms when com­bin­ed with rapid T1-weighted GRE-imaging [⇒ Marchal 1991, 1992]. Blood-pool or iron-oxide are not available on the market (cf. Table 13-03).


14-05-01 CE-MRA: Application


Contrast-enhanced MR imaging depends mainly on T1 effects, less on TOF- or PC-imag­ing techniques.

When during and immediately after injection blood has the shortest T1 of all tis­­sues, it will show the brightest signal and thus the blood vessels will be visible in the MIP image.

Furthermore, even in periods of slow flow (diastole for most ves­sels), there still is good signal from the blood which reduces ghosting artifacts and/or eli­mi­na­tes the need for cardiac synchronization. This makes CE-MRA much easier to perform.

After the slow injection of an ECF-space agent, its concentration in the blood will ra­pid­ly de­crease. Depending on the type, only 50% of the dose remains in the blood after 5-10 minutes.

However, with bolus injections (injection time less than 60 seconds), the initial first-pass concentration is high; it decreases rapidly im­me­dia­te­ly after the end of the injection (cf. Chapter 16).

The contrast agent is diluted with the total blood-pool volume, it leaks from the ca­pil­la­ries into the extracellular space in many tissues (e.g., muscle), and it is ex­cret­ed by the kidneys. Thus, for vascular imaging, these contrast agents are best used for imaging the first pass of the applied bolus.


spaceholder redHowever, even with contrast agents, the scan time can still be relatively long (20 seconds to 2 minutes).

Therefore, it is necessary to keep the ar­te­rial con­cen­tra­tion high continuously by in­ject­ing during the entire scan. As a rule of thumb, the duration of the injection is equal to or slightly shorter than the scan time (Fi­gu­re 14-19).


Figure 14-19:
Schematic drawing of a bolus injection for CE-MRA.


The delay between the start of the injection and the start of the scan depends on the delay between the start of the intravenous injection and arrival of the bo­lus in the arteries of interest.

The distance of the arteries of interest to the heart, the cardiac output, and the qua­li­ty of the veins in which the agent is injected must also be taken into account (Fi­gu­res 14-20 and 14-21).

The injected dose volume depends on the the contrast agent available and the al­low­ed dose. Overdosed contrast agents applied for MR angiography have led to the NSF debacle.


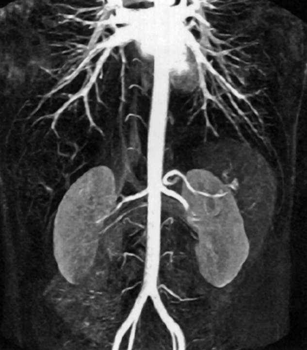
Figure 14-20:
CE-MRA of the abdominal aorta.


Figure 14-21:
CE TOF angiography of a hand.


14-05-02 CE-MRA: Techniques


In order to make sure that the arterial bolus is at its peak during imaging, se­ve­ral tech­­ni­ques can be used.

The delay between the start of the intra­venous injection and arterial arrival of the bolus can be determined by a small test in­jection of one or two milliliters of the con­trast agent.

The slice orientation of the test injection scan can be chosen in any direc­tion, but if it is chosen perpendicular to the flow, presaturation slabs on both sides of the slice have to be used to suppress inflow effects so that only T1 effects will be visi­ble.

Another approach is prospective bolus detection, where the acquisition is trig­­ger­­ed by the arrival of the arterial bolus. Because of the time needed for breath hold in­struc­­tions and the unknown delay between injec­tion and arterial bolus ar­ri­val, both prospec­tive and retrospective bolus detection can be problematic when com­bin­ed with breath hold.

The protocol used for strong T1- weight­ing is relatively simple and is similar to that used in 3D inflow. The main differ­ence is the flip angle and the freedom of slice ori­en­ta­tion. Usually, a 3D gradient-echo sequence is applied.

To suppress back­ground tissues, a short TR (ty­pi­cal­ly between 5 and 15 ms, de­­pend­ing on gradient system and sequence) and a large flip angle (between 40° and 70°) are used.

Such a large flip angle can­not be used for a normal 3D inflow protoc­ol (without con­trast agent) be­cause blood will become saturated too fast.

In combination with mechanical de­vi­ces the entire peripheral vascular system can thus be examined after a single contrast agent injection (Fi­gu­re 14-22). The com­bi­­na­tion of ra­­pid automatic table movement and automatic injection and follow-up of the bolus allows mul­ti­ple suc­ces­si­ve acqui­sitions.


Figure 14-22:
Moving-bed CE-MRA of the pelvis and legs.


spaceholder redThe differentiation between arteries and veins is still problematic. The easiest dif­fe­r­en­ti­a­tion is by morphology or, if a contrast agent is injected, by following the first pass.

Different approaches have been applied to distinguish between arteries and veins, both during image acquisition and by post­processing image data. None of these ap­­proa­ches has been found to be sufficiently reliable. Among them is the pre­sa­tu­ra­tion method described in Chapter 17.

However, if pre­saturation slabs are used for selective demonstration of veins, the ve­nous signal intensity in re­tro­gra­de pathways may inad­vertently be suppressed.

The use of gadolinium-based contrast agents obviates the dependence on in­flow and allows imaging with large fields-of-view in the coronal or sagittal plane, de­­spite sub­stan­tial in-plane venous flow. Sub­traction techniques offer a se­lec­ti­ve de­mon­­stra­tion of veins, but a vein-free arterial study must be obtained first [⇒ Shinde 1999].